Dental Crowns & Bridges in Glendale CA
When a tooth has been weakened or damaged, it is vulnerable to tooth decay, infection, disease, or more. Additionally, it can look unattractive, stained, or damaged—which can affect your self-confidence and self-worth.
Depending on the damage to your tooth, necessary daily actions like biting down, chewing, and speaking can be challenging and noticeable to others.
At the dental office of Lucio H. Kim, DDS, our priority is to provide beautiful, long-lasting restorations that improve your appearance, smile, and oral health. It's not enough to fix a damaged tooth; we also want to restore the beauty and luster of your teeth so that no one will ever be able to tell that it has been broken or infected.
Our approach is always conservative; we start with low-impact recommendations and inform our patients about every alternative dental treatment that we can provide. Patient education is critical to us; we want our patients to be active in their own oral health while we help guide and inform them.
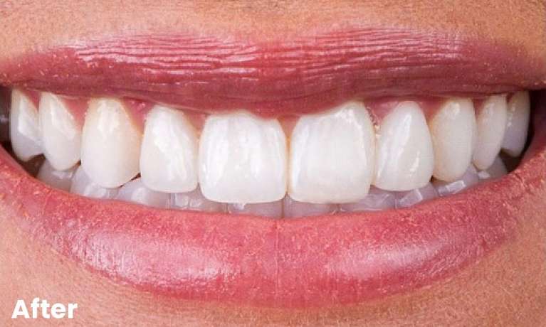
The Many Benefits of Dental Crowns
Dental crowns are an extremely popular dental restoration that acts as a helmet or cap that is placed over the entire tooth. This cap protects the structure of the tooth and prevents debris, bacteria, or particles from entering the tooth. Our finely crafted dental crowns look, feel, and function just like an existing tooth and restore your ability to bite, chew, and speak.
Glendale dentist, Dr. Kim, may recommend a dental crown for the following:
- Protecting a tooth from bruxism (tooth grinding)
- Protecting a tooth after a root canal
- The visible part of a dental implant
- Restoring a fractured or broken tooth
Dental crowns, or tooth caps, are also recommended to beautify your smile and fix cosmetic flaws like stubborn yellow staining or misshapen teeth. If you are interested in designing an attractive and durable smile, let your knowledgable dental team know that you would like to learn more.
Are You Missing One or Multiple Teeth?
Missing teeth can detract from even the most dazzling of smiles and can impact the way you eat or speak. We recommend replacing a tooth as soon as you can to avoid teeth shifting. Glendale patients can enjoy a full and beautiful smile through dental bridges.
When a tooth is missing, surrounding teeth will gradually drift towards the gap. This movement can lead to tooth shifting and can eventually cause problems like bruxism (grinding your teeth) and even TMJ.
Dr. Kim has used dental bridges to improve your smile, including:
- Restore the tooth to full function
- Fill out the empty space
- Stop remaingin teeth from shifting
- Beautiful alternative to dentures
We attache a quality dental bridge to teeth on either side of your smile gap. Sometimes, we recommend an implant for added stability.
We Customize Your Dental Restorations
We appreciate how busy our patients and their families are, which is why we make scheduling appointments easy and convenient. We value your time and never keep patients wasting time in the waiting room.
If your smile isn't in the condition you want, we can help. We provide multiple treatments that can restore your teeth or fix your smile, depending on your unique needs. Give our dental team a call today so we can schedule an appointment with Dr. Kim to go over your restoration options. If you are looking for a dentist near me in Glendale, we have many dental procedures that can address any oral health situation.